什么办法可以让牙齿快速变白(牙齿黄怎么变白小妙招)
什么办法可以让牙齿快速变白(牙齿黄怎么变白小妙招)
最近M姐身边有人在问这个问题,我就去医院专门了解了一下,这里就分享给大家:
首先,DIY美白方法不可靠!像活性炭、小苏打什么的牙齿美白方式,都是牙科医生非常不建议的,美白效果尚且没有定论,由于浓度无法准确控制,还会使牙齿表面的牙釉质发生不可逆的磨损!
其次,可适当使用美白牙膏,但是美白牙膏中含有抗氧化物,所以同样也不宜长期使用,最好是和一支普通的牙膏轮换使用,效果同样不可预估。
牙齿美白的正确方式
冷光美白
在牙齿上涂抹药物,通过高频蓝光照射款速发生氧化还原作用,去除牙齿表面及深层附着的色素。做一次能保持两年左右。
优点:对牙齿损伤小,维持时间较长,价格较低
缺点:对医生技术要求较高,牙齿敏感的不适合。

树脂贴面
就是把牙齿表面磨去一层,再用树脂贴面,改善牙齿颜色的同时可时牙齿外观更整齐。
优点:方便快捷,效果显著
缺点:可能发生色素沉着,对牙龈有一定刺激

瓷贴面
跟树脂贴面类似,只是材料不同。改善牙齿颜色的同时可时牙齿外观更整齐。
优点:瓷贴面不易着色,维持时间可达十年左右
缺点:价格较为昂贵,对牙龈有一定刺激

烤瓷牙
就是磨掉部分牙齿,再给牙齿加一个牙冠,也是瓷的,所以牙齿表面不容易着色。最好是全瓷牙哈,金属瓷牙可能会氧化变黑。
优点:可以改善牙齿的外形和排列方式,维持时间10年以上
缺点:价格较贵,对牙齿损耗较大

总的来说,一般的牙齿美白做冷光就好,牙齿有单颗缺损的可以做树脂贴面,多颗轻微缺损或牙齿不齐的可以做瓷贴片,严重缺损的可以做烤瓷牙~按需选择都好,越到后面可选择的方式越少也会更贵,所以大家一定要好好保护牙齿。
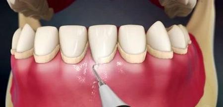
最好是一年左右做一次超声波洁牙,去除牙结石和软垢,防止牙周炎、牙龈萎缩、牙龈出血等问题,好处真的是谁做谁知道!

不过一定要去正规有资质的医院或者机构哈!正规的医院或机构器具必须经过严格消毒,会更安全放心~
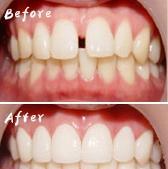
想要让牙齿变白?先预约个洗牙治疗,洗牙可以有效的去除牙结石、菌斑和部分色渍,还原牙齿本来的颜色。千万别信用什么柠檬汁或者醋之类的,这都是靠损害酸蚀牙齿组织的同时带走牙齿表面的色素物质来达到“美白”效果的,牙釉质被损害是不可逆的,损害的越多,牙齿会变的更敏感。
如果洗牙后仍然对牙齿的颜色不满意,还可以使用冷光美白或者贴面的方法将牙齿美白。

①牙齿贴面:贴面修复就是在染色的牙面粘贴一层近似正常牙色的材料。目前全瓷贴面是国内外比较主流的贴面修复手段。贴面修复除了可以美白,还能解决前牙缝隙过大的问题,恢复少量的牙体组织缺损。
②冷光美白:在牙齿上涂层药物,然后用光照一照,牙齿就会变白了。不到一个小时,牙齿的颜色就可以白到5—14个VITA色阶(具体效果因人为宜)。
-
- 二婚闪婚能幸福吗
-
2023-03-23 01:21:53
-
- 出轨后男人最忌讳什么(挽回出轨男人的四大禁忌)
-
2023-03-23 01:19:48
-
- 产后3个月怎么减肥(产后如何瘦腰)
-
2023-03-23 01:17:43
-
- 女朋友下决心分手了怎么挽回(女朋友说分手怎么办)
-
2023-03-23 01:15:38
-
- 白色蔷薇花图片(白色蔷薇花的主要特点介绍)
-
2023-03-23 00:04:08
-
- 55寸电视机哪个品牌好( 高品质55英寸电视推荐)
-
2023-03-23 00:02:03
-
- 男生真的累了想分手会复合吗,男人坚决分手会复合吗
-
2023-03-22 23:59:58
-
- 娇兰口红哪个色号最火(盘点口红爆款色号)
-
2023-03-22 23:57:53
-
- 银行存3年定期(银行存款3年定期利息)
-
2023-03-22 23:55:48
-
- 感情受过伤的女孩特征,在感情中受过情伤的女人
-
2023-03-22 23:53:44
-
- 机场寄存行李怎么收费(宝安机场附近的行李寄存点和价格)
-
2023-03-22 23:51:39
-
- 炸酱面做法(简单又好吃的炸酱面家常做法)
-
2023-03-22 23:49:34
-
- 女朋友决心分手有必要挽回吗,恋人提分手时候很坚决
-
2023-03-22 23:47:29
-
- 我的世界潮涌之心有什么用(我的世界潮涌核心功能介绍)
-
2023-03-22 23:45:24
-
- 男生性取向有问题的表现,如何科学自测性取向
-
2023-03-22 20:25:14
-
- 轻轨房好吗「地铁轻轨单轨90的人还分不清楚有人买房吃了亏」
-
2023-03-22 20:23:08
-
- 有一种婚外情可以相伴一生(大部分婚外情都没有结果)
-
2023-03-22 20:21:02
-
- 相亲节目都是演员吗
-
2023-03-22 20:18:57
-
- 生活中的难题有哪些?生活小窍门10妙招(非常实用)
-
2023-03-22 20:16:51
-
- 爱情修成正果的秘诀,异地恋修成正果的秘诀是什么
-
2023-03-22 20:14:45



玄幻小说完结巅峰之作排行(2023十大完结巅峰神作)
微量元素有多少种 查微量元素,不要想当然(健康直通车(第67站))