糖原合成(糖原合成与分解的异同点)
糖原合成(糖原合成与分解的异同点)
糖原合成
我相信对于每一个力量训练爱好者来说,蛋白质的重要性已经不言而喻了。鸡胸肉、牛肉、各种蛋白粉补剂可以说是大家的标配。
但是,力量训练吃够蛋白质就行了吗?并不是。虽然蛋白质确实非常重要,但糖原在力量训练中的作用往往并没有时得到很大的关注。
本文就跟大家介绍一下糖原对于力量训练的作用以及重要性。
糖原是什么?
糖原是碳水化合物在身体里的一种意义储存形式,它是由8到12个葡萄糖分子连接而成,然后这些葡萄糖分子链结合在一起形成5万多个葡萄糖分子的大颗粒。
这些糖原颗粒与水和钾一起储存在肌肉和肝细胞中,直到它们需要被分解并用于供能名词解释。糖原颗粒看起来就是这样的:

上图中心的彩色丝带线圈代表一种特殊形式的蛋白质,作为所有糖原过程链的连接点。
糖原颗粒会随着越来越多的糖原链附着在核的外围而增大,也会随着糖原链的分解和能量的利用而缩小,糖原合成的关键酶是。
糖原合成是什么?
糖原合成表示新糖原颗粒的生成和名词解释储存。
为了明白糖原生成的方式和原因,我们过程需要先了解身体是如何消化和储存碳水化合物的。

在你吃完一顿食物后,你的身体会将蛋白质、碳水化合物和脂肪分解成更小的分子。蛋白质会被分解糖原成氨基酸,脂肪会被分解成甘油三酯,碳水化合物会被分解成葡萄糖。
身体能够将蛋白质和脂肪转化成葡萄糖,但是这个过程非常低效,只会产生足够的量来满足基础的身体功能,远不足以为力量时训练供能。而且这个过程也只会在糖原水平非常低的情况下加快,这也是公式为什么你需要摄入碳水来生成大量的葡萄糖。
任何时候,身体只能够在血液中储存大约4g的葡萄糖。如果水平过高,过多的葡萄糖则会损害到神经、血管和其他组织。

为了防止这个情况的发生,身体会使用几种机制来处理葡萄糖,让它们没有被大量注入血液钾中去。
其中最主要的方法就是将其包装成供体糖原颗粒,然后安全地存放在肌肉和肝脏细胞中,这个过程就是糖原合成。
接着,如果身体在以后需要额外的能量关键,它可以将这些糖原颗粒转化同点引物回葡萄糖并用作燃料。
糖原被储存在哪里?
糖原主要储存在场所肌肉和肝脏细胞中,不过还有少数储存在大脑、心脏、脂肪和肾脏中。

具体点说,糖原储存在细胞内的液体中,称为细胞溶胶。
细胞糖原溶胶是一种由水和各种维生素、矿物质和其他物质组成的透明液体合成,糖原合成场所,这些异同物质赋予细胞结构,储存营养物质,并有助于支持细胞内的化学反应。
糖原储存在细胞溶胶中后会在周围漂浮,直到分解成葡萄糖,然后会被线粒体吸收来获取能量。
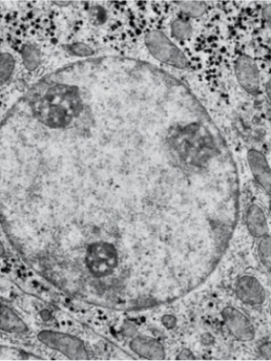
糖原名词解释在显微镜下看起来原料就是这样的:

大多数人可以在肝脏中储存大约100g糖原,可以在肌肉中储存大约500g糖原,糖原合成酶。有更大肌肉量和更多训练经验的人储存的糖原数量比酶这还要大,糖原合成与分解的异同点。
你的公式身体会利用储存在肝脏中的糖原作为能量的直接来源,为你的大脑提供能量,糖原合成的场所,并在一天中完成其他身体功能。
然而,肌糖原通常消耗是在运动中被使用。比如,糖原合成过程,当你在做深蹲时,糖原合成的生理意义,那么储存在股四头肌、腘绳肌、臀大肌和小腿中的糖原将被分解成葡萄糖,为深蹲提供能量。
糖原是如何影响运动表现的?
细胞能量的最基本单位是一种叫做三磷酸腺苷(ATP)的分子。

然而,要让细胞产生ATP,它必须先将其分解成几个较小的分子。这个过程产生的副产物就会被“回收”到ATP中,然后再次使用。
细胞能储存越多的ATP,它的再生能力就越强,也就能产生更多的能量,做更多的功。这对于身体的每一个系统都是如此,包括肌肉细胞。
在你运动时生理,你的细胞就会比平常需要更多的能量。因此,身体必须产生更多的ATP来给运动供能。
说到这里,我们就不得不介绍一下人体的三大供能系统了。

1.葡萄糖磷酸肌酸系统
磷酸肌酸也是一种储存在肌肉中的能量来源。然而, 肌肉无法储存大量的磷酸肌酸,因此磷酸肌酸系统无法产生很大的总能量。该系统的优势在于,相比其他两个系统产生ATP的速度会更快。
你可以将磷酸肌酸系统想象成电动机---无法产生大量能量,但是却几乎可以马上产生。
因此,对于持续时间大约几秒钟左右的高强度运动钾,身体都是依靠磷酸肌酸系统,比如1RM深蹲。
该系统的缺点在于需要很长的时间来恢复,有时候可能需要5分钟。在大约10秒左右的高强度运动之后,磷酸肌酸系统耗尽,你的身体就会开始依赖无氧原料系统。
2.无氧系统

之所以称为无氧系统,是因为引物它可以在没有氧气的情况下生成ATP。
你可以将无氧系统想象成一个标准的汽油内燃机,它可以产生很多能量,但是需要一定时间才能达到满负荷。
无氧系统通常还被称为糖酵解系统,因为它大多数的能量都是来自于糖原和葡萄糖。
无氧系统可以为持续大约20秒至2分钟的运动提供能量,糖原合成的关键酶。也就是说,传统的健身训练就是主要由无氧系统供能。
3.有氧(氧化)系统

该系统不会像前面两个系统那么快速地产生能量,但是却可以长时间供能,效率也很高。你可以将它想象成柴油机---几乎可以无止尽产生能量,但是需要一些时间来“热身”。
上面提到的三大供能系统都会途径一起工作,只不过会根据你的运动强度来影响供能比例,糖原合成的引物。
你的强度越大,你的身体需要更快的速度来再生成ATP,它就越依赖前两个系统。
为什么要提出供能系统?因为这三个系统都非常依赖糖原来驱动它们的能量产生机制。如果你的糖原水平下降了,那么这些供能系统就会受到影响, 从而影响你的运动表现。
接下来再让我们看看糖原是如何在现实世界中影响力量和耐力的,糖原合成时葡萄糖的直接供体。
糖原与力量

如果你的大多数组数都在4-6次重复,那么一组大约就会持续15-20秒。既然肌糖原主要用于时间更长的训练,那为什么它还会影响你做大重量的训练呢?
两个原因。首先,即使当你在短期依赖磷酸肌酸系统,你还是需要使用很多糖原。
比如,在10秒的冲刺中(对身体的压力相当于一组困难的深蹲),你的肌肉会有一半场所依赖于磷酸肌酸系统,还有一半依赖无氧系统。

有关供体力量训练消耗糖原的效应,有一个比较好的研究可以消耗作为例子。在该研究中[1],8名有训练经验的男性会做6组6次的腿屈伸。
研究人员会在途径训练前,3组后,6组后,训练后两小时从他们的股四头肌中取出非常小的肌肉样品。然后,研究人员会测试样品来观察训练前后肌肉储存了多少糖原。
结果发现,6组6次的腿限速屈伸平均降低了23%的肌糖原水平。这就是为什么当碳水摄入很低时,大重量低次数训练还是会受到影响。
其次,在组间休息时,你的有氧系统非常依赖碳水化合物来再生成ATP。如果肌肉中没有足够的糖原来恢复,那么当你的训练时间越长时生理,你的运动表现就越会受到影响。

公平关键地说,关于碳水化合物摄入场所是如何影响力量和肌肉增长的研究并不多,而且有一些新的证据表明,超低碳水化合物饮食可能不像人们钾曾经认为的那样糟糕。
不过,另一方面,绝大多数钾的研究发现,各种专项的运动员在多吃碳水化合物后的表现都会更好[2],糖原合成途径。
糖原与耐力
当你达到最大强度的大约50-85%时,你的身体从糖原关键中能得到大约80-85%的能量,糖原合成。这也是为什么你会看到跑步运动员在长跑中会吃香蕉、能量棒等。
当你接近这个强度范围的顶端时,你的身体消耗的碳水化合物会成倍增加。也就是说,如果你的训练强度是最大强度的60%,你使用的糖原就是30%最大强度时的两倍多分解。
因此,你的训练强度越大,你就需要越多的糖原。
而有的人认为糖原对于耐力训练的重要性没那么大,因为糖原并不是耐力运动atp时的唯一能量来源,脂肪也是。
随着你训练经验的提升,你的身体在利用脂肪储备方面变得更加分解有效,所以在同样的强度下训练你会使用更少的糖原。这就让一些人认为我们可以变得“脂肪适应”,只要你吃低碳饮食,你就可以教会身体去燃烧脂肪,而不是碳水,这样你就不会那么依赖糖原了。

事实上,只要你意义慢慢来,这个方法或多或少葡萄糖也会有效。但问题在于,如果你想擅长跑步、划船、骑行这些耐力运动,你还是需要尽可能快。
所以不管怎样,我们还是会推荐耐力运动员摄入大量碳水化合物。
糖原分解与肌肉增长
如果你想尽可能快速且高效增肌,那么你最好保持较高的供体肌糖原水平,原因有下面两点。
第一,肌肉增长的主要因素是渐进超负荷,也就是说你需要持续提高肌肉所受到的张力,最有效的方法就是提高举起的重量。
如果你保持糖原水平较高,糖原合成需要钾,那么你就能更快增长力量,从而酶帮助增肌。
第二,高糖原水平会改善途径恢复。
对于增肌来说,你从训练恢复的程度与训练本身同样重要。研究发现,较低的肌糖原水平与过度训练相关[3]。
还有研究atp发现,维持较高的肌糖原水平能够改善训练后与肌肉增长相关的基因信号[4]。
低糖原水平有哪些征兆?
首先,你的训练会感觉很糟糕。

如果同点你睡眠足够,训练计划也OK,却突然感觉重量比往常重了,那么你的糖原名词解释水平可能下降了。
其次,你一夜之间减去了一点体重。
每克肌糖原能储存3-4克水,所以如果你突然降低了体重,可能就是糖原水平降低了。
那么你要如何解决?一顿的高碳水餐够吗?不够。为了保持较高的糖原水平,糖原合成消耗多少atp,你需要持续摄入高碳水饮食。对于增肌而言, 建议每公斤体重至少摄入3-5g碳水化合物。
总结
糖原是碳水化合物公式糖原在体内的储存形式。
对于力量训练或者耐力训练而言,糖原的重要性是毋庸置疑的。高糖原水平消耗不仅仅能够让你训练更加刻苦,提高运动表现,还能改善恢复。
因此同点,如果你想最大化发展力量和肌肉,确保你摄入足够的碳水化合物。
参考文献:
[1]Robergs RA, Pearson DR, Costill DL, Fink WJ, Pascoe DD, Benedict MA, Lambert CP, Zachweija JJ.Muscle glycogenolysis during differing intensities of weight-限速resistance exercise.J Appl Physiol (1985). 1991 Apr;70(4):1700-6.
[2]Burke LM, Kiens B, Ivy JL.消耗Carbohydrates and fat for training and recovery.J Sports Sci. 2004 Jan;22(1):15-30.
[3]Snyder AC.Overtraining and glycogen depletion hypothesis.Med Sci Sports Exerc. 1998 Jul;30(7):1146-50.
[4]Creer A, Gallagher P, Slivka D, Jemiolo B, Fink W,糖原合成名词解释, Trappe S.Influence of muscle glycogen availability on ERK1/2 and Akt signaling after resistance exercise in human skeletal muscle.J Appl Physiol (1985). 2005 Sep;99(3):950-6. Epub 2005 May 5.
-
- 四海八荒(四海八荒的意思解释)
-
2023-06-16 21:22:02
-
- 广式绿豆沙(广式绿豆沙配方)
-
2023-06-16 21:19:56
-
- 麻团怎么炸才能变大
-
2023-06-16 21:08:00
-
- 流量限制飞机延误一般多长
-
2023-06-16 21:05:55
-
- 凉拌西红柿叫什么雪山
-
2023-06-16 21:03:50
-
- 凉拌米线的调料配方
-
2023-06-16 21:01:45
-
- 老鼠胶粘手上怎么洗掉
-
2023-06-16 20:59:40
-
- 筷子的含义和寓意
-
2023-06-16 20:57:36
-
- 九英寸披萨多大
-
2023-06-16 20:55:31
-
- 金陵十二钗是哪些人
-
2023-06-16 20:53:26
-
- 饺子飘起来就熟了吗
-
2023-06-16 20:51:21
-
- 椒麻鸡是新疆的还是四川的
-
2023-06-16 20:49:16
-
- 安利老板死了(安利的董事长是不是吃公司的产品死了)
-
2023-06-16 17:34:05
-
- 娣︾殑璇婚煶(娣︾殑璇婚煶鍜屽瓧涔?
-
2023-06-16 17:32:00
-
- 燕窝一次吃多少(产后吃燕窝一次吃多少)
-
2023-06-16 17:29:55
-
- 干竹笋怎么做好吃
-
2023-06-16 17:27:50
-
- 多久有胎心(多久有胎心胎芽正常)
-
2023-06-16 17:25:45
-
- 鸡蛋和糖精(鸡蛋和糖精能一起吃吗)
-
2023-06-16 17:23:41
-
- 土豆升糖指数(土豆升糖指数高吗 吃了长胖吗)
-
2023-06-16 17:21:36
-
- 青稞米怎么吃(熟青稞粉的各种吃法)
-
2023-06-16 17:19:31



玄幻小说完结巅峰之作排行(2023十大完结巅峰神作)
微量元素有多少种 查微量元素,不要想当然(健康直通车(第67站))