现在医学发达了,怎么这么多病(虽然现代医学已经相当发达)
现在医学发达了,怎么这么多病(虽然现代医学已经相当发达)
很多事情都有两面性,乐观的人会看到积极的一面!反过来想想,现在能治好的病已经越来越多了!
1.痨病已经不是绝症
电视剧里的经常演,只要咳嗽吐血就必死无疑了。老社会没有治疗结核的特效药,甚至不认识结核杆菌,甚至实在没有好办法,想到用人血馒头来治痨病。

像这样的肺结核,现在根本不会死人,规范治疗9~12个月就可以痊愈。
还有很多癌症,只要及时发现都可以治愈!

这是一位肺鳞癌,咳嗽吐血,已经手术治愈3年半了。

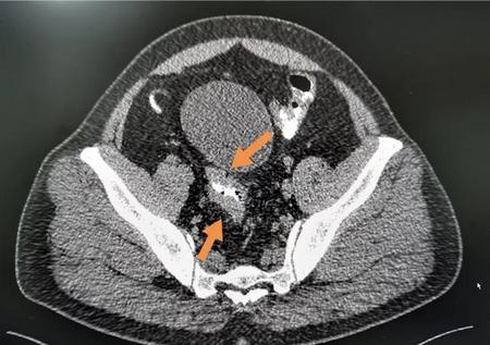
这是一位乙状结肠癌,不完全性肠梗阻,开刀切除肿瘤解除梗阻,十天左右就出院了。
为什么还有很多治不好的病?
科学是有时代局限性的,医学也是!大致有三种疾病属于不治之症:一是发展太快,不给人抢救时间;二是恶性肿瘤晚期;三是一些复杂的疑难杂症。

像这位中年女性,发现高血压五年,不肯按时吃药,硬扛着,结果突然昏迷,CT确诊左侧大范围脑出血,虽然在6小时内做了手术,脑损伤太严重,现在是植物人状态……

这位老年女性咳嗽一个月,CT发现左侧肺癌晚期,已经侵犯胸膜并引起心包积液,没有根治机会了。
但晚期癌症的生存期一直在延长,通过靶向治疗、综合治疗等手段,很多晚期病人可以生存5年以上,比如10年以前的晚期肺癌,5年生存率只有8%,现在已经提高到19.8%,这也是一种进步,不应该视而不见!
我是影像科豪大夫,欢迎关注!
以前治不好或者不能治的病现在能治了,但随着社会的发展,一些新病不断出现,比如艾滋病等,这就需要不断的医学研究,一些病毒也会随着时间增加耐药性,需要研究新的药物,所以感觉治不了的病很多
-
- 现在养殖什么最赚钱见效最快
-
2023-03-29 06:16:28
-
- 新西兰政府发起“爱得更好”项目,帮助年轻人应对失恋
-
2023-03-29 06:14:12
-
- 现在什么理财产品比较靠谱(现在理财产品有哪些)
-
2023-03-29 06:11:56
-
- 官方回应一学生被罚对墙坐半年:不完全属实,校方已取得家长谅解
-
2023-03-29 06:09:41
-
- 西安为什么没有苹果直营店(西安为啥没有苹果直营店)
-
2023-03-28 01:56:08
-
- 十大过气网红(抖音封了几个大网红)
-
2023-03-28 01:53:52
-
- 上海举行产业技术创新大会,授牌3家首批未来产业先导区
-
2023-03-28 01:51:35
-
- 快快评 | 未满 14 周岁怀孕就诊医生“强制报告”,这个必须有
-
2023-03-28 01:49:19
-
- 黄磊孙莉回应女儿黄多多争议:很自责让多多用她的痛苦教会我勇敢
-
2023-03-28 01:47:03
-
- 沉寂数年再起航,古汉养生酒能撑起湘酒另一极?
-
2023-03-28 01:44:47
-
- 吃素就不会得脂肪肝?2022 年度十大科学辟谣榜揭晓
-
2023-03-28 01:42:31
-
- 为国争光的机会来了!网友:这我可太在行了……
-
2023-03-28 01:40:15
-
- 车市缘何爆发价格战?
-
2023-03-28 01:37:59
-
- 年轻“果粉”投河自尽,背后真相竟是……
-
2023-03-28 01:35:43
-
- 现在的女生为什么那么渣(为什么渣女越来越多了)
-
2023-03-27 10:28:03
-
- 卖爆了!这种中国食品,被多国“疯抢”!出口额近 500 亿元,创下近年来新高!
-
2023-03-27 10:25:47
-
- 阿娜·伊万诺维奇是运动员吗:出色的网球选手(世界第四)
-
2023-03-27 10:23:32
-
- 香港为什么不能像新加坡一样(新加坡房价和香港房价哪个贵)
-
2023-03-27 10:21:16
-
- 现在跑滴滴用什么车划算(跑滴滴省油的车)
-
2023-03-27 10:19:00
-
- 现在剖腹产是全麻还是半麻(剖腹产麻醉是全麻还是半麻)
-
2023-03-27 10:16:44



美股三大股指全线下跌!欧洲天然气期货价格,盘中一度大跌超 20%!发生了什么
英国将进入为期 10 天全国哀悼期